← Carrying angles, snapping triceps, irritated ulnar nerves, and dislocated elbows
Posted on March 7, 2016 → 314 × 568
0
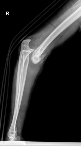
Notice the forearm, the hooked part, has moved up / the humerus, the ball part, has moved down.
This site uses Akismet to reduce spam. Learn how your comment data is processed.
Posted on March 7, 2016 → 314 × 568
0